Σαλβίνι: «Οι Κινέζοι κατασκεύασαν τον ιό σε εργαστήριο το 2015» (vd) Κατηγορία Υγεία Παρασκευή, 03 Απριλίου 2020 19:20 Διαβάστε περισσότερα...
Αποθέωσε εργαζομένους ΕΚΑΒ και γιατρούς ΜΕΘ ο Τσιόδρας! Κατηγορία Υγεία Παρασκευή, 03 Απριλίου 2020 18:16 Διαβάστε περισσότερα...
Κορωνοϊός | 99 νέα κρούσματα και συνολικά 59 νεκροί στην Ελλάδα Κατηγορία Υγεία Παρασκευή, 03 Απριλίου 2020 18:00 Διαβάστε περισσότερα...
Οδηγίες για τους πολίτες | Βήμα - βήμα η ενεργοποίηση της άυλης συνταγογράφησης Κατηγορία Υγεία Παρασκευή, 03 Απριλίου 2020 17:53 Διαβάστε περισσότερα...
Το Παναρκαδικό Νοσοκομείο θα μπορεί να συνεργάζεται με ιδιώτες γιατρούς για τις εφημερίες! Κατηγορία Υγεία Κυριακή, 05 Απριλίου 2020 06:33 Διαβάστε περισσότερα...
Αιμοδοσία στο Λεβίδι | Ενθαρρυντική η ανταπόκριση των αιμοδοτών Κατηγορία Υγεία Παρασκευή, 03 Απριλίου 2020 16:49 Διαβάστε περισσότερα...
Κορωνοϊός | 4 οι νεκροί στην Ελλάδα - Κατέληξε 52χρονος στο Αττικόν Κατηγορία Υγεία Παρασκευή, 03 Απριλίου 2020 15:18 Διαβάστε περισσότερα...
Τρίπολη | Αυστηρά μέτρα προστασίας από την Παιδίατρο Κλειώ .... "Κορώνη virus"! Κατηγορία Υγεία Παρασκευή, 03 Απριλίου 2020 14:42 Διαβάστε περισσότερα...
Προμήθεια εξοπλισμού πέντε κλινών ΜΕΘ με εξοπλισμό από το Κίνημα Αλλαγής. Κατηγορία Υγεία Παρασκευή, 03 Απριλίου 2020 14:03 Διαβάστε περισσότερα...
Δωρεά ετοιμάζουν οι Αρκάδες της Αμερικής για το Παναρκαδικό Νοσοκομείο στη μάχη κατά του κορωνοϊού! Κατηγορία Υγεία Παρασκευή, 03 Απριλίου 2020 12:34 Διαβάστε περισσότερα...
Πρόεδρος Ιατρικού Συλλόγου: «Με έναν λοιμωξιολόγο, δεν μπορεί να γίνει Νοσοκομείο Αναφοράς στην Τρίπολη» Κατηγορία Υγεία Παρασκευή, 03 Απριλίου 2020 12:05 Διαβάστε περισσότερα...
Κορωνοϊός | Έχασε τη «μάχη» 78χρονος - 55 οι θάνατοι στην Ελλάδα Κατηγορία Υγεία Παρασκευή, 03 Απριλίου 2020 11:08 Δεύτερος θάνατος την Παρασκευή (3/4) από τον κορωνοϊό στην Ελλάδα, καθώς έχασε τη μάχη κι ένας 78χρονος από την Αλεξανδρούπολη. Διαβάστε περισσότερα...
Το "ευχαριστώ" του Παναρκαδικού Νοσοκομείου για τη συγκινητική συμμετοχή στην εθελοντική αιμοδοσία Κατηγορία Υγεία Παρασκευή, 03 Απριλίου 2020 11:01 Διαβάστε περισσότερα... Επιβεβαιωμένο κρούσμα κορωνοϊού σε χωριό της Νεμέας – Σε κρίσιμη κατάσταση 68χρονος (ηχητικό) Κατηγορία Υγεία Παρασκευή, 03 Απριλίου 2020 10:55 Κρούσμα κορωνοϊού σε χωριό της Νεμέας – Σε κρίσιμη κατάσταση νοσηλεύεται στο νοσοκομείο ΄΄Σωτηρία” ένας 68χρονος. Διαβάστε περισσότερα... Κορωνοϊός | Ιταλοί φωτογραφίζουν για πρώτη φορά τον φονικό ιό! Κατηγορία Υγεία Παρασκευή, 03 Απριλίου 2020 09:44 Τις πρώτες φωτογραφίες του κορονοϊού έδωσε στη δημοσιότητα το κρατικό πανεπιστημιακό νοσοκομείο Sacco του Μιλάνου. Διαβάστε περισσότερα...
Επιβεβαιωμένο κρούσμα κορωνοϊού σε χωριό της Νεμέας – Σε κρίσιμη κατάσταση 68χρονος (ηχητικό) Κατηγορία Υγεία Παρασκευή, 03 Απριλίου 2020 10:55 Κρούσμα κορωνοϊού σε χωριό της Νεμέας – Σε κρίσιμη κατάσταση νοσηλεύεται στο νοσοκομείο ΄΄Σωτηρία” ένας 68χρονος. Διαβάστε περισσότερα...
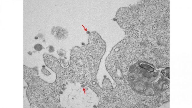
Κορωνοϊός | Ιταλοί φωτογραφίζουν για πρώτη φορά τον φονικό ιό! Κατηγορία Υγεία Παρασκευή, 03 Απριλίου 2020 09:44 Τις πρώτες φωτογραφίες του κορονοϊού έδωσε στη δημοσιότητα το κρατικό πανεπιστημιακό νοσοκομείο Sacco του Μιλάνου. Διαβάστε περισσότερα...